Wat is het Brachycefaal Obstructief Syndroom, kortweg BOS?
Kortsnuitige hondenrassen hebben een erfelijke aanleg voor afwijkingen aan de bovenste luchtwegen. Deze afwijkingen worden gemakshalve gegroepeerd onder de noemer brachycefaal obstructief syndroom of kortweg BOS. Het syndroom omvat de volgende afwijkingen:
- vernauwing van de neusopeningen
- een te lang zacht gehemelte
- vergrote amandelen (tonsillen)
- het naar buiten klappen van de laryngeale luchtzakjes
- het inklappen van het strottenhoofd (larynxcollaps)
- te smalle luchtpijp (trachea hypoplasie)

Rassen waarbij deze afwijkingen in hoog percentage voorkomen zijn: Engelse en Franse Bulldog, Mopshond, Pekinees, Shar Pei, Shiz Tzu, boxer, Chow Chow en Boston terriër.
Vernauwing van de neusopening, een verlengd zacht gehemelte en een eventueel te smalle luchtpijp zijn de eerste anatomische componenten van het syndroom.
Vergrote amandelen, het naar buiten klappen van de laryngeale luchtzakken en het inklappen van het strottenhoofd treden later op.
Het gaat dus om een progressieve aandoening die reeds op een leeftijd van 2 – 4 jaar zijn eindstadium van dodelijke larynxcollaps kan bereiken. Vroegtijdige diagnostiek en behandeling is daarom ten zeerste aangewezen.
Wat is de oorzaak van BOS?
Door de bewuste menselijke selectie naar eerder extreme uiterlijke kenmerken zijn er verschillende anatomische fouten geslopen in de lichaamsbouw van kortsnuitige honden. Het is een erfelijk bepaald probleem, dus door te blijven fokken op een zo kort mogelijke snuit, blijven de anatomische kenmerken en dus ook de gevolgen hiervan aanwezig.
Wat is de evolutie van BOS?
Veel kortsnuitige rassen hebben een onvoldoende stevig kraakbeenskelet van de neusgaten. Hierdoor zullen de neusvleugels inklappen. Zo ontstaat dan de te nauwe opening van de neusgaten met de typische knorrende ademhaling. Hierdoor moeten kortsnuitige soms echt moeite doen om lucht door hun neusgaten naar binnen te zuigen (u moet zelf eens proberen te ademen door half dichtgeknepen neus of ademen door een dun rietje).
Een tweede barrière (=iets dat de doorgang belemmert) bevindt zich achterin de keel en wordt gevormd door het zachte gehemelte (de huig). Kortsnuitige honden hebben namelijk een te lang zacht gehemelte, dat nu niet enkel de slokdarm, maar ook de luchtpijp gedeeltelijk afsluit. Dit is hoorbaar (vooral tijdens de slaap, omdat de spieren dan verslappen) als een opvallend snurkend geluid. Doordat kortsnuitige een extra inspanning dienen te leveren tijdens het inademen om deze barrières te overwinnen zal er een negatieve druk ontstaan in de bovenste luchtwegen. Dit zuigende effect zorgt voor zwelling en ontsteking van het slijmvlies waardoor het probleem verergert. De negatieve druk kan ervoor zorgen dat niet alleen de amandelen maar ook de twee kleine zakvormige structuurtjes bovenaan in het strottenhoofd (de laryngeale luchtzakken) binnenste buiten keren. Hierdoor wordt de doorgang naar de luchtpijp verder belemmerd en zullen de klachten toenemen.
Dezelfde negatieve druk zorgt er ook voor dat er maagzuur in de slokdarm wordt gezogen, wat een chronische irritatie kan veroorzaken met episodische braakklachten tot gevolg.
Wanneer een patiënt langere tijd met deze luchtwegproblemen rondloopt zal, door de afwijkende negatieve druk, de kraakbeenstructuur waaruit het strottenhoofd is opgebouwd zijn stevigheid verliezen. Hierdoor klapt het strottenhoofd in elkaar en kan er praktisch geen lucht meer passeren en belandt deze patiënt is een levensbedreigende situatie van ademnood (larynxcollaps).
Wat zijn de symptomen van BOS?
De symptomen variëren uiteraard in ernst afhankelijk van de afwijkingen.
- snurken
- rochelende ademhaling
- benauwdheid bij inspanning en opwinding
- kans op oververhitting bij warm weer in combinatie met inspanning
- hoesten en/of kokhalzen
- slikmoeilijkheden of rusteloos slapen
- braken
- ernstige ademnood, zelfs met bewustzijnsverlies en sterfte tot gevolg
Hoewel veel honden zonder al te veel problemen een redelijk probleemloos leven kunnen leiden, zullen problemen in ernst toenemen.
Hoe stellen we de diagnose van BOS?
Door de patiënt te observeren (het ras en de manier van ademen), een goed lichamelijk onderzoek en afhankelijk van de klachten zullen we een eerste vermoedelijke diagnose stellen. Bij honden met duidelijk hoorbare ademhaling kan uw dierenarts zelf beginnen over eventuele gevaren en een plan om duidelijkheid te krijgen van de ernst van de problemen.
Voor een definitieve diagnose is het noodzakelijk de hond onder sedatie te brengen voor een uitgebreide keelinspectie. Alleen zo kunnen we de lengte van het zachte gehemelte, de tonsillen en de vorm van de larynx beoordeeld worden.
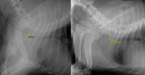
Een te smalle luchtpijp kan alleen goed met een röntgenfoto beoordeeld worden.
Wat zijn de mogelijke behandelingen voor BOS?
Bij patiënten met een vergroot risico of met minimale klachten kan worden gedacht aan het vermijden van de uitlokkende factoren (inspanning, opwinding). Het dragen van een tuigje ipv. een riem is zeker een goed begin.
Bij een te zware hond is vermageren een noodzaak door zijn invloed op de lichaamstemperatuur en de inspanningstolerantie van het dier.
Een medicamenteuze behandeling is enkel aangewezen bij spoedpatiënten om op korte termijn het acute respiratoire ongemak te verlichten. Het afkoelen van de patiënt naast het toedienen van kalmeermiddelen, ontstekingsremmers en zuurstof kunnen levensreddend zijn.
Een echte behandeling is enkel mogelijk door het uitvoeren van een chirurgische correctie. Studies tonen aan dat honden die lijden aan dit syndroom vaak beter in een vroeg stadium geholpen worden. Dit is ook logisch aangezien de vorm van de luchtpijp, strottenhoofd en slokdarm de minste verandering ondergaan als de irritatie hiervan niet te lang duurt. Dus beter op 1 tot 2-jarige leeftijd ingrijpen (wanneer de patiënt volledig is doorgegroeid) dan te wachten tot de hond 7-8 jaar oud is met een vergevorderde aandoening met minder goede resultaten tot gevolg.
Hierbij kunnen indien nodig zowel de neusopeningen, het zachte gehemelte als de luchtzakken in één sessie worden gecorrigeerd.
Tijdens de ingreep schenken we de nodige aandacht aan het verdovingsrisico. Ook het wakker worden verdient de nodige aandacht waarbij zuurstoftoediening is aangewezen.
Te kleine neusopeningen
Het doel van deze ingreep is de instroomopening van de lucht vergroten door middel van een neusvleugelcorrectie. Hierbij wordt een stukje kraakbeen vanuit beide neusvleugels verwijderd.
Inkorten van het zachte gehemelte
Het zachte gehemelte wordt zorgvuldig ingekort zodat de opening van de luchtpijp helemaal vrij komt. De combinatie van de neusvleugelcorrectie en het inkorten van het zachte gehemelte zorgt er bij BOS patiënten voor dat verdere belasting van de ademhaling gestopt wordt, met verbetering van de levenskwaliteit tot gevolg.
Als de luchtzakjes naar buiten geklapt zijn worden deze weggesneden.
Het chirurgisch herstellen van een ingeklapt strottenhoofd leidt helaas niet tot bevredigende resultaten. Het maken van een permanente opening in de luchtpijp (tracheostomie) kan mogelijks een oplossing bieden. Het is uiteraard de bedoeling om dit scenario voor te blijven. Een te nauwe luchtpijp kan helaas niet behandeld worden.
Preventie van problemen bij brachycefale rassen
Voorkomen van klinische klachten; extra voorzichtigheid bij brachycefale rassen is geboden bij extreme inspanning, warmte en stress. Een brachycefale hond laten inspannen tijdens een hete zomerdag is vragen om problemen.
Overgewicht dient ten alle tijden voorkomen te worden omdat de obstructie van de luchtwegen bij overgewicht ernstiger is.
Fokadvies; aanpassing van de rasstandaard, waarbij niet meer op een zo kort mogelijke snuit gefokt wordt, is noodzakelijk om een structurele definitieve oplossing te bekomen.
Bron: Branchycephaal Obstructief Syndroom (BOS) | Dierenkliniek de Ark




